
特定健診・がん検診を受診していますか?
富山市の特定健診・がん検診は2025年12月26日まで行います。予約が必要です。
毎年当院でも多数の方が受診されますが、生活習慣病やがんと診断される方が多くおいでます。なかには検診を受けていなかったばかりに厳しい状況で発見される方もおいでます。
生活習慣病やがんの早期発見は、高齢になっても健やかな生活を送るためには大事なことと思います。せひ健康診断や検診の年1回の受診をお勧めします。

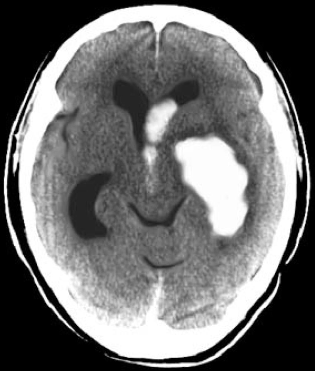
脳出血の頭部CT
特定健診
特定健診は生活習慣病の診断を目的とした検診です。かつての小泉内閣の時にいわゆる一般的な検診から生活習慣病を目的とした検診に変わり、腹囲を測定するようになるとともに、検査項目が削減されました。
生活習慣病の健診は将来の脳血管疾患(脳梗塞・脳出血・くも膜下出血)や虚血性心疾患(心筋梗塞・狭心症)だけでなく、認知症の発症にも大きく関与していると言われており、重要な健診です。

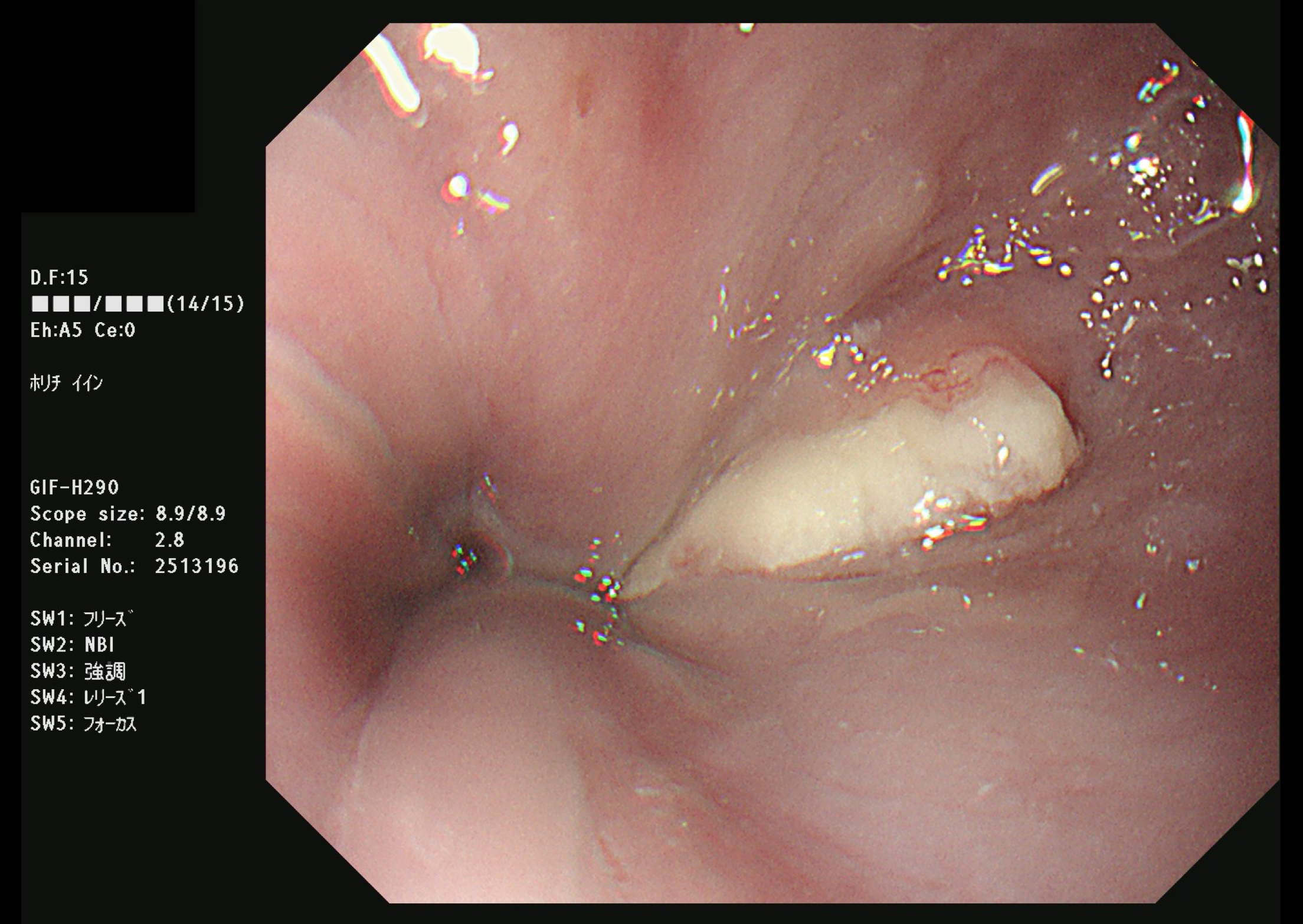
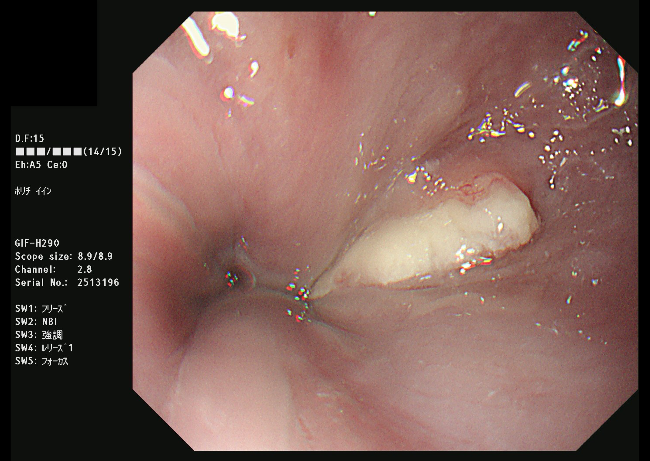
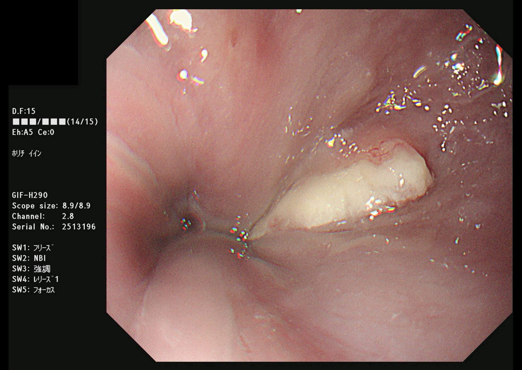
胃がん(上部消化管内視鏡)
食道がん(上部消化管内視鏡)
胃がん検診
富山市の胃がん検診は胃内視鏡(上部消化管内視鏡)もしくは胃透視(バリウムを飲む検査)でおこなわれています。胃がんはかつては日本人にとって非常に多いがんでしたが、ヘリコバクターの保菌者の減少とともに、胃がんも少なくなりつつあります。
胃がん検診では喉頭部・食道・十二指腸上部を観察します。
当院では胃内視鏡(経口)のみを実施しております。胃の中を十分に検査するために高解像度の内視鏡を使用しており、そのため口からの内視鏡検査となります。一般的に鼻からの経鼻内視鏡による検査の方が楽な検査と言われていますが、内視鏡が細い分、最新型の経口高解像度内視鏡に比べて解像度が落ちます。
富山市からの検診の案内には経鼻内視鏡のできる施設が明示されていますので、ご希望に合わせて受診してください。

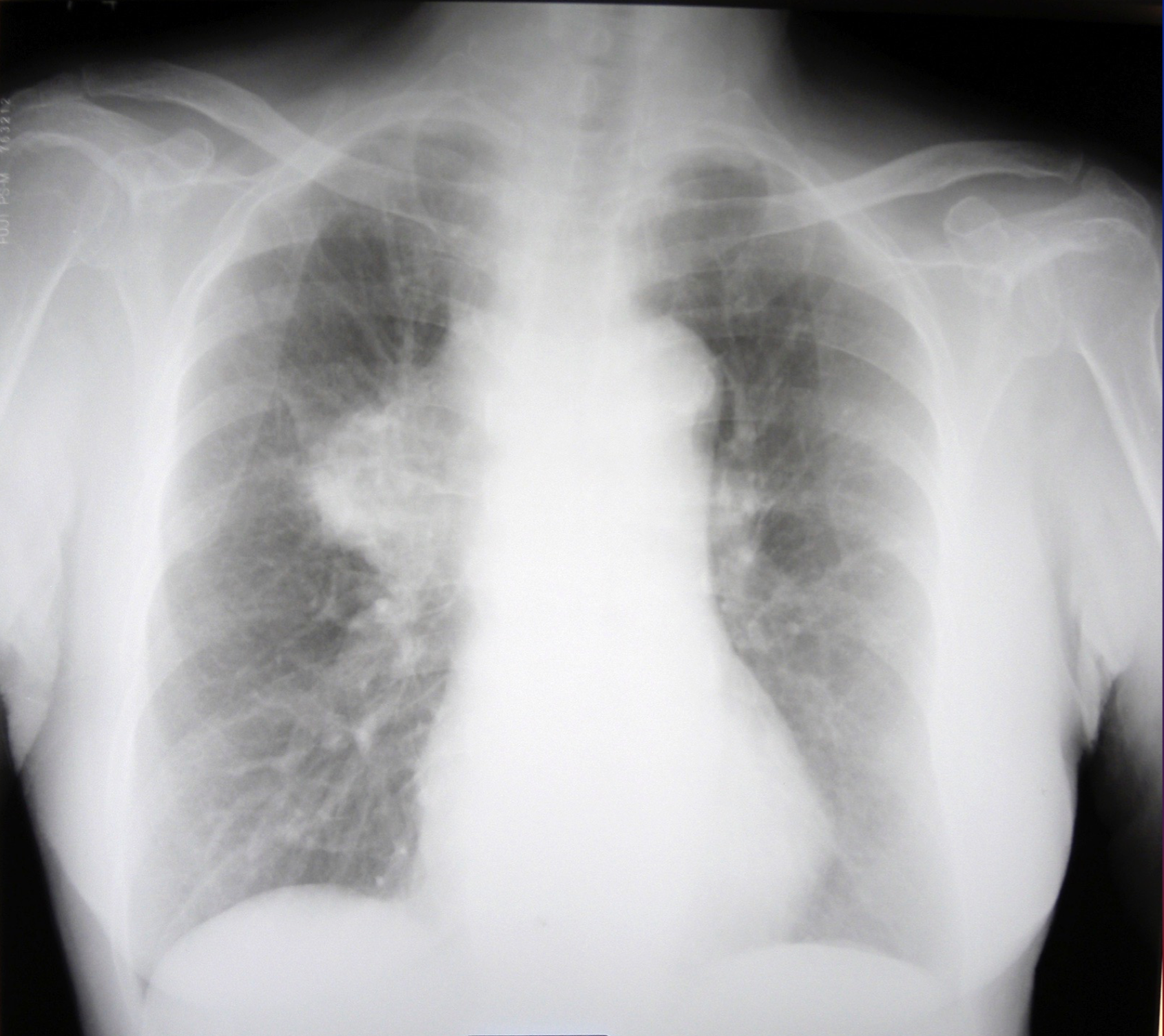
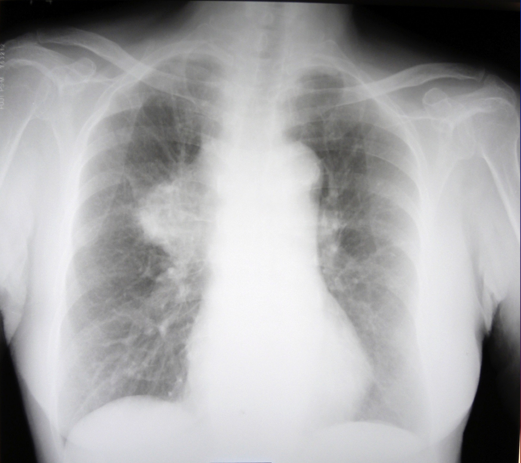
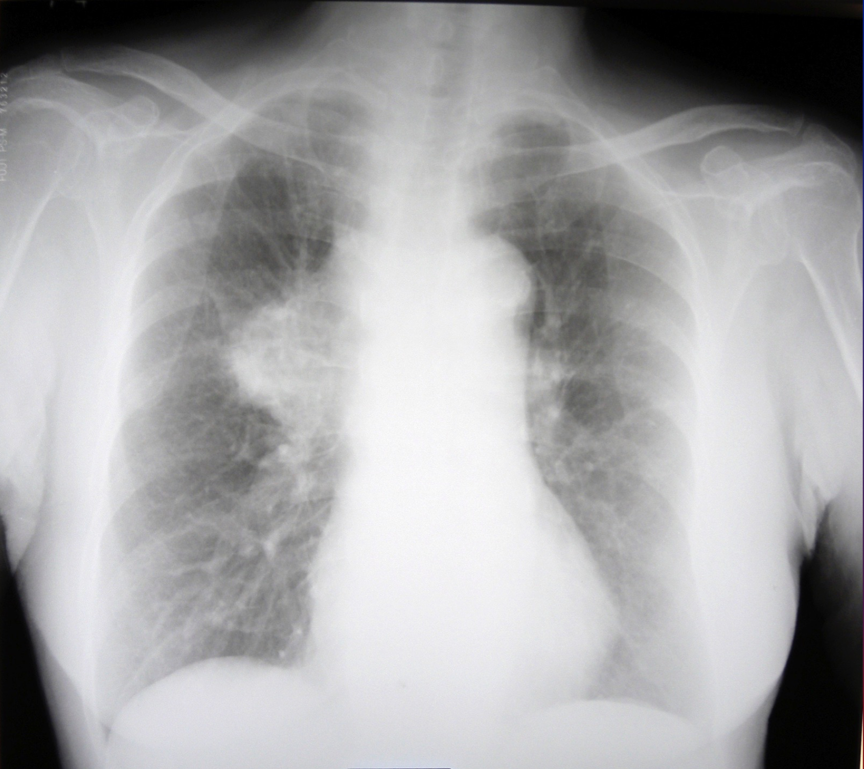
肺がん
肺がん検診
肺がん検診は胸部レントゲン写真を撮影し診断します。
もし異常があれば総合病院等へ依頼し、胸部CTを撮影します。
最近肺がんの発見が増えています。また、胸部CTの精度が上がり、まだ癌か良性病変かの判断がつかないような軽度の病変が見つかることも多くなっております。
残念ながら長期間検診を受診されておらず、発見したときにはかなり進行している場合も多く見受けられます。楽な検査ですので必ず年1回は受診するようにお勧めします。

大腸がん(S状結腸癌)
大腸がん検診
大腸がん検診は検便(便中ヒトヘモグロビン検査2日法)でおこないます。
検便を2日間連続で採取し、その中のヒトヘモグロビン濃度を測定します。大腸がんも日本人に増えているがんです。
もし陽性であれば、何らかの病気がある可能性があると判断されますので、大腸の検査をおこなうことになります。
写真は過去に当院でおこなった大腸内視鏡で発見された癌ですが、現在は当院では大腸内視鏡をおこなっておりません。そのため検査をおこなう医療機関へ紹介させていただきます。
2025年10月12日更新


